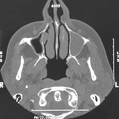
| Compared to the air-filled maxillary sinus on the right, the CT scans of the head above and below demonstrate a uniform gray appearance to the left maxillary sinus as a result of the collection of mucoid secretions following inflammation and stricture of the small duct draining the sinus. This is a mucocele that is expanding the sinus and thinning the surrounding bone. A mucus retention cyst from a blocked minor mucus gland in the paranasal sinus will appear similarly. |
![]() |