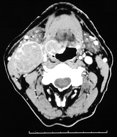
There is a prominent squamous cell carcinoma involving the right posterior base of the tongue in the region of the lingual tonsil. There is a large mass of adjacent lymph nodes with metastatic carcinoma.