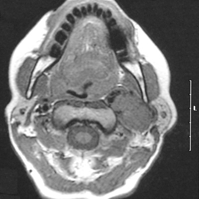
| The axial MRI scan above, a T1 weighted post-gadolinium view demonstrates a paraganglioma enhancing with the contrast. The mass does not enhance in the T2 weighted FSE axial view below. Paragangliomas arising in the carotid body rarely secrete significant amounts of catecholamines, unlike the "extra-adrenal pheochromocytomas" arising in paraganglia of the retroperitoneum. |
![]() |