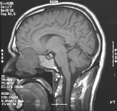
This MRI scan in sagittal view demonstrates an olfactory neuroblastoma filling the nasopharyngeal region, eroding the orbital plate superiorly, and extending to the inferior frontal lobe.