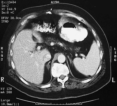
Click on the adrenal adenoma in the CT scan above:

This abdominal CT scan with contrast demonstrates an incidental right adrenal cortical adenoma that is about 1 cm in size. If the patient is asymptomatic with no demonstratable abnormal laboratory findings, then such a lesion is best left alone.