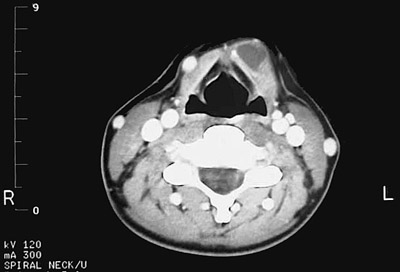
Click on the thyroglossal duct cyst in the CT scan above:

Here is another CT scan in the region of the mid neck at the level of the hyoid bone demonstrating a thyroglossal duct cyst near the midline.