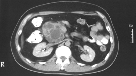
| The abdominal CT scans above and below demonstrate a multiloculated mass consistent with a mucinous cystadenocarcinoma of the head of the pancreas. The bulk of the mass projects downward from the pancreatic head, so the liver and spleen are not seen at this level. |
![]() |