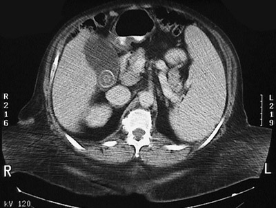
![]() | This abdominal CT scan with contrast demonstrates a gallstone within a dilated gallbladder next to the liver on the patient's right. Gallstones may contain varying portions of cholesterol, calcium, and bilirubin. They are often built through apposition of layers, leading to the laminated appearance seen here. |
![]() |