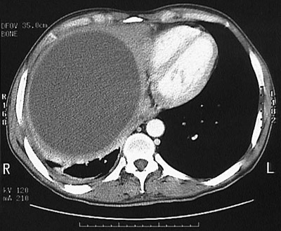
The
large cyst
seen here is the result of
Echinococcus granulosus
. The size of the cyst produces the projection of the right liver lobe high into the chest to the level of the
ventricles of the heart
.