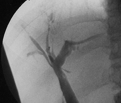
| Here is another view from a cholangiogram to demonstrate a beaded pattern and ductular narrowing and pruning from irregular segmental strictures with fibrosis of bile ducts in a case of sclerosing cholangitis. Patients with inflammatory bowel disease, and ulcerative colitis in particular, can develops sclerosing cholangitis. |
![]() |