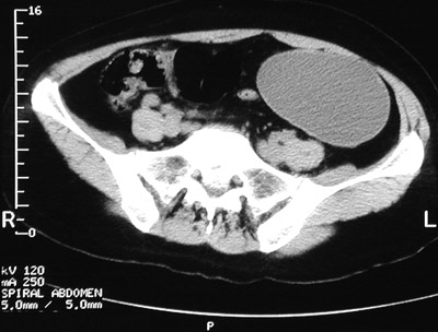
The pelvic CT scan seen here demonstrates an enlarged left ovary with fluid density that has undergone
torsion
, which leads to hemorrhagic infarction. The process produces marked pelvic pain.