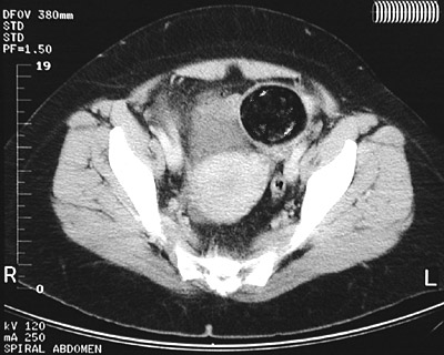
![]() | The CT scan of the pelvis in axial view demonstrates a large discrete mass with variegated contents, including soft tissue densities and calcification. This is a mature cystic teratoma ("dermoid cyst") of the left ovary. Most of the contents have the same attenuation as the abdominal fat, indicative of the fact that much of a dermoid's contents consist of oily fluid. |
![]() |