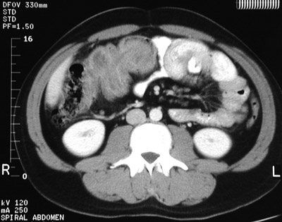
| There is an intussusception in the proximal part of the transverse colon in this abdominal CT scan. In the view below, the rounded leading mass, an adenocarcinoma, that led to this event can be seen. Of course, colonic intussusception, though rare, is much more likely to be an idiopathic event involving the ileocecal region of an infant. In adults, intralumenal masses may be caught by peristaltic waves and initiate intussusception. |
![]() |