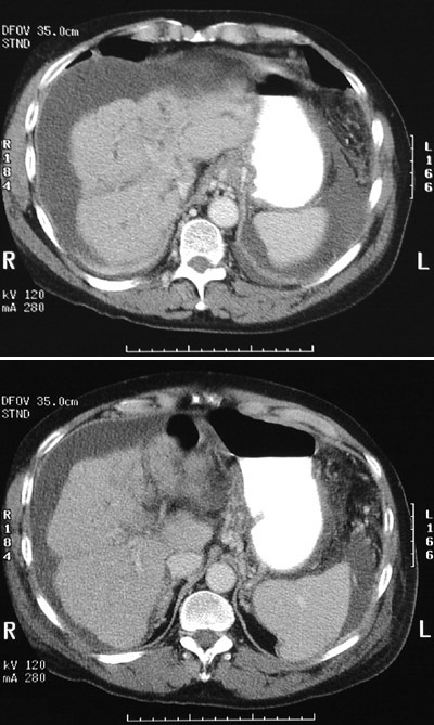
![]() | In these two views from an abdominal CT scan are prominent dilated collateral vessels in the region of the gastroesophageal junction in a patient with a small, nodular shrunken liver with cirrhosis. Cirrhosis has led to portal hypertension and varices as well as to ascites with abdominal fluid collections. This patient had ulcerative colitis and developed primary sclerosing cholangitis. This patient is postoperative following colectomy. |
![]() |