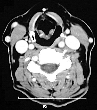
| In this CT scan of the neck region, there is a pulsion diverticulum of the esophagus. Such a diverticulum represents enlargement and outpouching of esophagus through constrictor muscles. Such a lesion is also known as a Zenker's diverticulum. This lesion can produce a mass effect, interfere with swallowing, and collect food that decays and produces marked halitosis. |
![]() |