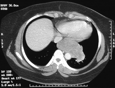
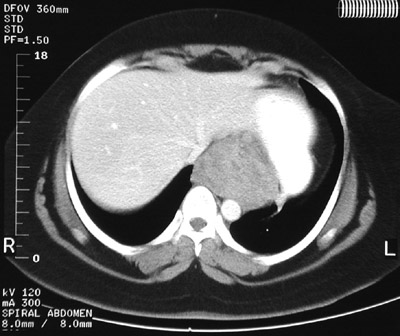
| There is a large mass involving the lower esophagus and extending to the upper gastric fundus in these abdominal CT scan views in the lower chest above and upper abdomen below. This is a gastrointestinal stromal tumor (GIST). These tumors are composed of spindle cells. The biologic behaviour is unpredictable. |
![]() |