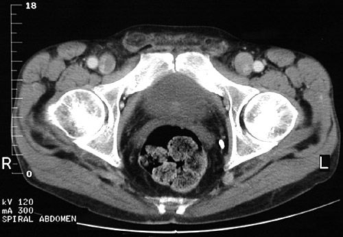
This pelvic CT scan demonstrates the normal appearance of
stool in the rectum
. The stool contains both air and solid components, giving it a textured appearance on CT scan. No bright contrast is present here.