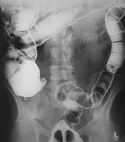
This barium enema reveals a polyp located midway down the descending colon. The polyp appears to be attached via a short stalk to the mucosa.