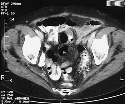
This abdominal CT scan with contrast demonstrates diverticulosis most pronounced in the sigmoid colon. Note that the small, rounded outpouchings are dark because they are filled with stool, not contrast.