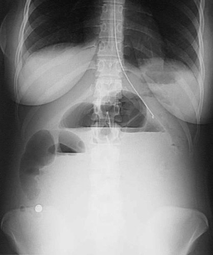
This abdominal radiograph demonstrates contrast material layering in the loops of bowel as a consequence of bowel obstruction with intussusception resulting in lack of peristalsis. A long intestinal tube is visible.