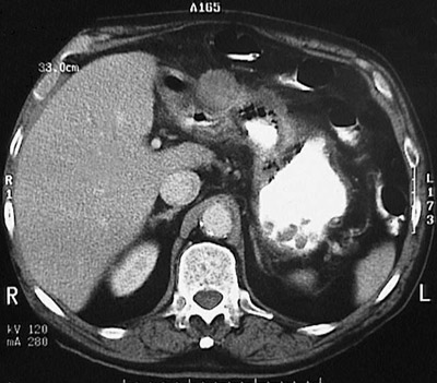
This abdominal CT scan with contrast reveals a mass lesion distorting the gastric antrum. This is an adenocarcinoma. This patient had H. pylori infection for many years.