 |
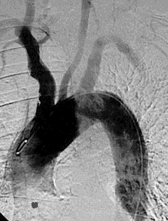
This angiogram demonstrates the aortic arch and great vessels. An embolus from a cardiac valvular vegetation from the left side of the heart can travel out the systemic circulation. Shown here is a septic embolus from infective endocarditis travelling up the left common carotid artery, which could result in a cerebral infarction and/or abscess. |