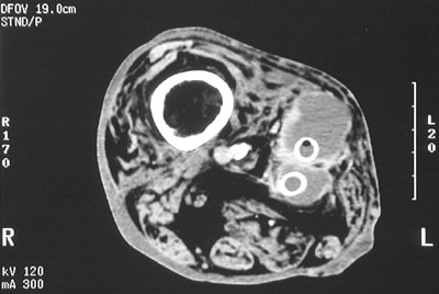
In this diabetic patient with severe peripheral vascular disease, there are two femoral-popliteal PTFE grafts with thrombosis and surrounding fluid collection.