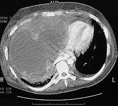
This large mass that nearly fills the right chest cavity is an angiosarcoma arising in the epicardium adjacent to the right ventricle of the heart.