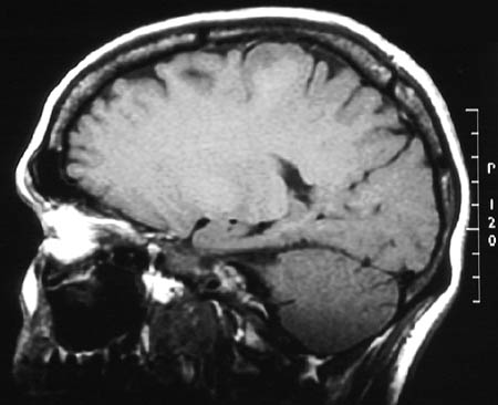
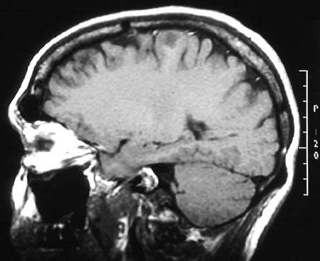
These enhanced MRI scans in sagittal view reveal the presence of a small, ill-defined mass in the superior left frontal lobe. This is an
oligodendroglioma
.