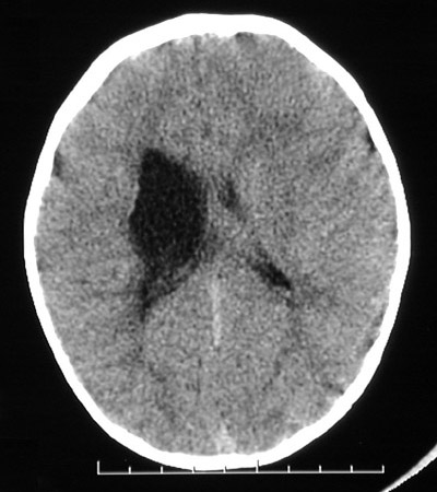
Here is a head CT scan revealing ex vacuo ventricular dilation in a case of cerebral palsy. The CT scan helps to rule out a more recent event such as trauma.