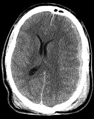
| This head CT scan in axial view above demonstrates a subdural hematoma with the classic identations juxtaposed with the gyri and sulci beneath the dura on the lateral aspect of the left cerebral hemisphere. Note the effacement of the lateral ventricles and midline shift. |
![]() |