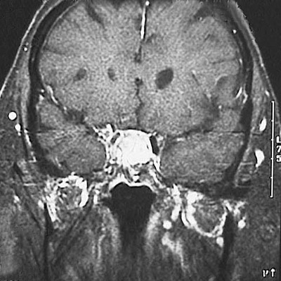
This coronal view MRI scan of the head reveals a pituitary adenoma filling and expanding the sella turcica.