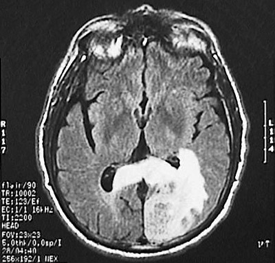
| This MRI scan of the head in axial view demonstrates a large glioblastoma multiforme involving the left occipital lobe. This is a T1 weighted scan, and the tumor is seen crossing the midline toward the right and is bright after gadolinium enhancement. |
![]() |