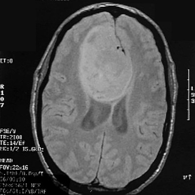
Click on the glioma in the MRI scan above:

This is an axial MRI scan demonstrating a large glioma impinging upon the ventricular system.