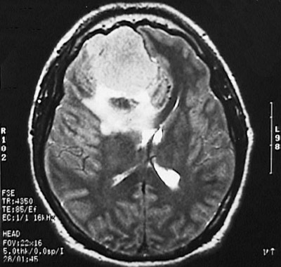
This T2 weighted MRI scan in axial view demonstrates a meningioma in the parasagittal region which is so large that it compresses the underlying cerebral hemisphere and impinges upon the lateral ventricle.