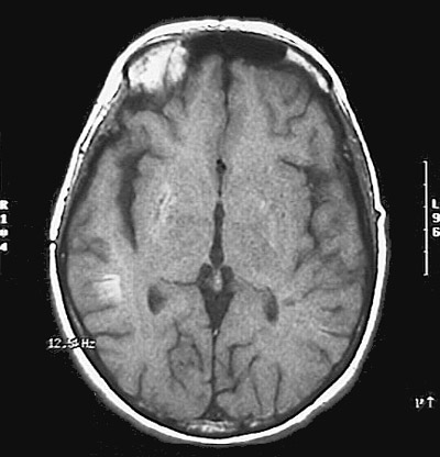
Click on the areas of infarction in the MRI scan above:
This magnetic resonance imaging scan demonstrates subacute infarctions in the
right basal ganglia
and also near the grey-white junction in the
posterior parietal region
.