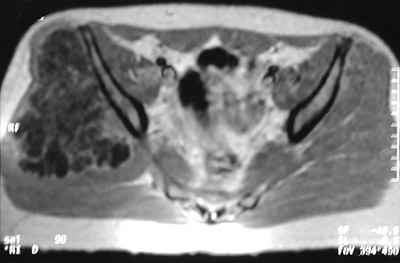
The pelvic MRI scan seen here reveals a mass lesion arising in the right iliac wing that proved to be a chondrosarcoma.