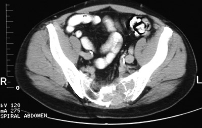
This pelvic CT scan demonstrates osteolytic metastases extending from the sacrum across the sacroiliac joint on the left. In this case, the primary neoplasm was a renal cell carcinoma.