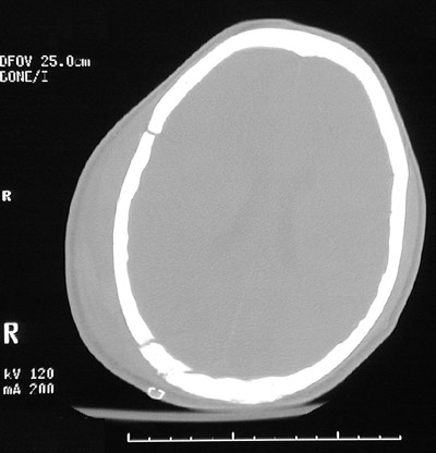
| This head CT scan in "bone window" demonstrates a skull fractures on the right with diastasis of the sutures. However, this is not a depressed skull fracture. There is marked overlying soft tissue swelling in the scalp, and a small laceration has been closed with staples. In the view below following craniotomy for removal of an epidural hematoma, the swelling has diminished and the posterior fracture has been stabilized with a short metal plate. |
![]() |