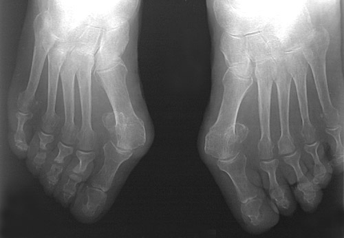
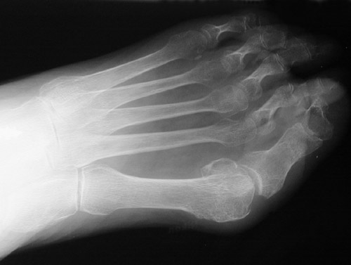
Both feet shown here reveal a deformity known as a bunion in which the first metatarsophalageal joint of the foot becomes very angled and prominent. This deformity produces difficulty in ambulating and in fitting shoes.