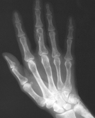
| This radiograph of the hand demonstrates osteitis fibrosa cystica with areas of rarefaction, typical of patients with primary hyperparathyroidism. As seen in the more advanced case here, cystic areas develop from the osteoclastic activity, and the marrow becomes fibrotic. Microfractures can occur in the weakened bone. |
![]() |