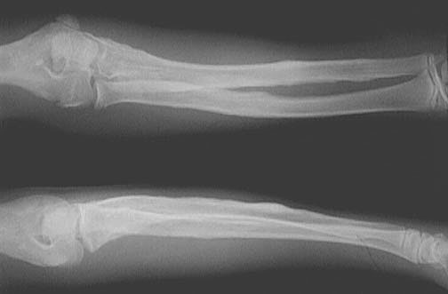
The condition depicted here is congenital familial osteomatosis. Multiple osteomas are present, giving the long bones a "bumpy" appearance.