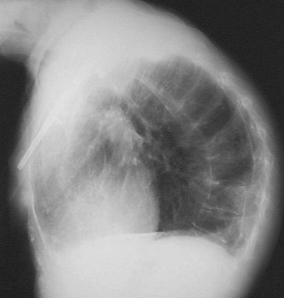
| This lateral chest radiograph demonstrates marked kyphosis of the vertebral column so that the head and neck are bent forward and the total chest volume is markedly reduced. This patient had severe osteoporosis, and a fall resulted in a fracture of the humerus that required open reduction and internal fixation, evidenced by the bright metal rod seen here. |
![]() |