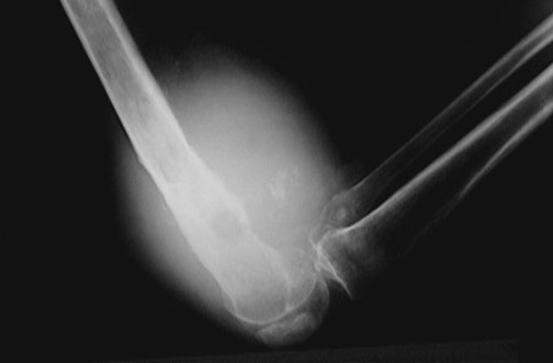
The distal femur has a mass lesion that is producing bony destruction as it involves the soft tissues of the lower thigh above the knee. This is a fibrosarcoma.