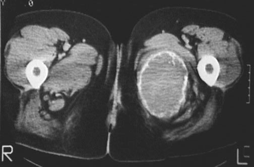
This is a giant cell tumor (GCT) of bone in the region of the upper thigh. This lesion arose in the left ischial ramus and demonstrates a thin sclerotic rim in axial view with this CT scan.