
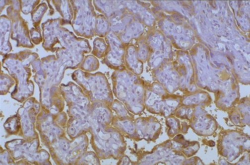
| Here is the microscopic appearance of the placental chorionic villi. The spaces between the villi are filled with maternal blood, with gas and nutrient exchange taking place across the cytotrophoblast and syncytiotrophoblast layers on the surface of villi to fetal vessels within villi. This immunoperoxidase stain with antibody to human chorionic gonadotropin (HCG) indicates the source for HCG that maintains the pregnancy. |
![]() |