
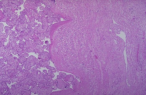
| Microscopically, the placental villi interdigitate directly with the uterine myometrium, without an intervening decidual plate. This is placenta accreta, which will result in lack of normal separation at delivery, leading to marked hemorrhage necessitating emergency hysterectomy. The classification of placental invasion into myometrium is as follows: |
| Type | Invasion of chorionic villi has occurred |
|---|---|
| Accreta | Superficially into myometrium |
| Increta | Deep into myometrium |
| Percreta | Through the myometrium |
![]() |