
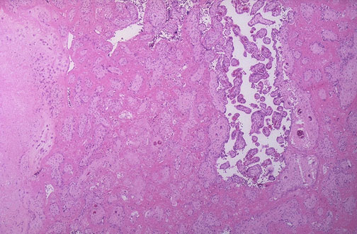
| The decidua is at the left, from which extends into the villi extensive deposits of fibrin, and the villi are becoming infarcted. This is known as maternal floor infarction. This condition can cause uteroplacental insufficiency and fetal demise. It is uncommon, but this condition has a tendency to recur in subsequent pregnancies. |
![]() |