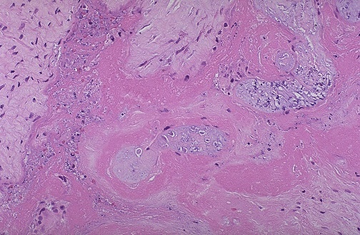
Microscopically, this placental infarct demonstrates
pale, necrotic chorionic villi
.