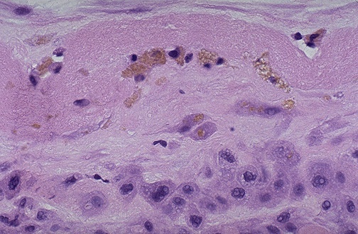
If the fetus lives in utero following the meconium spillage, then the yellow-brown pigment can be taken up into macrophages in the membranes, as seen here, which can then give an indication that meconium was present in the amnionic cavity.