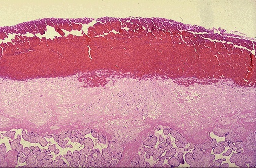
Microscopically, this abruptio placenta is seen to have extensive hemorrhage at the top of the image, at the decidual plate, with placental villi below.