
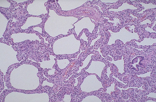
![]() | A later complication of prematurity should the baby survive the immediate neonatal period, during which time mechanical ventilation was necessary, is bronchopulmonary dysplasia (BPD). With BPD, there is interstitial fibrosis and inadequate alveolar development for good pulmonary function. Respiratory distress can continue for months to years. |
![]() |