
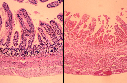
| The clinical manifestations of neonatal necrotizing enterocolitis (NEC) in premature neonates include abdominal distension, ileus, and bloody stool at several days of age. Compared to normal bowel at the left, bowel involved by NEC at the right shows hemorrhagic necrosis, beginning in the mucosa and extending to involve the muscular wall, with the potential for perforation. |
![]() |