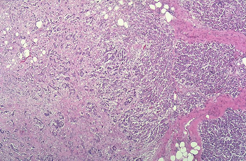
At low power there is an adenocarcinoma of the pancreas seen at the left, with normal pancreas at the right. A risk factor for pancreatic adenocarcinoma is smoking. There is a weaker association with diabetes mellitus and chronic pancreatitis.